PO BOX 1222, PC 611, Nizwa Regional Referral Hospital, Nizwa, Al Dakhliya, Sultanate of Oman, Oman
Cite this as
Dhar D. Traumatic Dislocation of All Four Lesser Metatarsophalangeal Joints. A Rare Case Presentation. Open J Trauma. 2026; 10(1): 005-007. Available from: 10.17352/ojt.000053
Copyright License
© 2026 Dhar D. This is an open-access article distributed under the terms of the Creative Commons Attribution License, which permits unrestricted use, distribution, and reproduction in any medium, provided the original author and source are credited.Closed traumatic multiple dislocations of metatarsophalangeal joints (MTP) are uncommon injuries. In the majority of cases described in the literature, open reduction is the treatment for reduction of the dislocation due to the complex anatomy of MTP joints, preventing closed reduction of the affected joints. Our case report describes the dorsoradial dislocation of the second to fifth MTP joints of the left foot following a motor vehicle accident, which was treated by closed manipulation and reduction of the affected joints under anesthesia successfully without external Kirschner wire fixation. Post-reduction, the affected foot was immobilized in a below-knee posterior plaster slab with strapping of the toes for a total of four weeks. At 12 weeks follow-up, the patient had resumed pre-injury activities with a painless range of all lesser toe movements without any radiographic evidence of arthritis on subsequent follow-up at 06 months post-injury.
This case highlights that a proper closed manipulation and reduction under anaesthesia is worth trying before embarking on open reduction, as the results of closed reduction are excellent with less morbidity and risks associated with open reduction.
Closed simultaneous dislocation of MTP joints are very unique and rare injury [1], which, if not managed in time, can have a detrimental effect on the patient’s weight bearing and gait in the future. Metatarsophalangeal joints (MTP) are synovial condyloid-type joints. They are important in the formation of the transverse arch of the foot, the terminal stance and pre-swing phase of the gait cycle and for flexion and extension of toes [2]. Anatomically, the stability of MTP joints is due to deep transverse metatarsal ligaments and the plantar plate, which is a dense fibrous thickening of the plantar capsule. The joints are relatively unprotected on the dorsal side, making dorsal dislocation more common. There are some reports of isolated dislocation of a single MTP joint described in literature [3-5] along with very few reports of all five MTP joints dislocations [6-8], all of which were treated by open reduction with Kirschner wire fixation. Only one case of traumatic dorsal dislocation of all five MTP joints to date has been described in the literature, which was treated successfully by closed reduction [9].
Our case is the second case that highlights the successful closed reduction of all four lesser dislocated MTP joints with gratifying results.
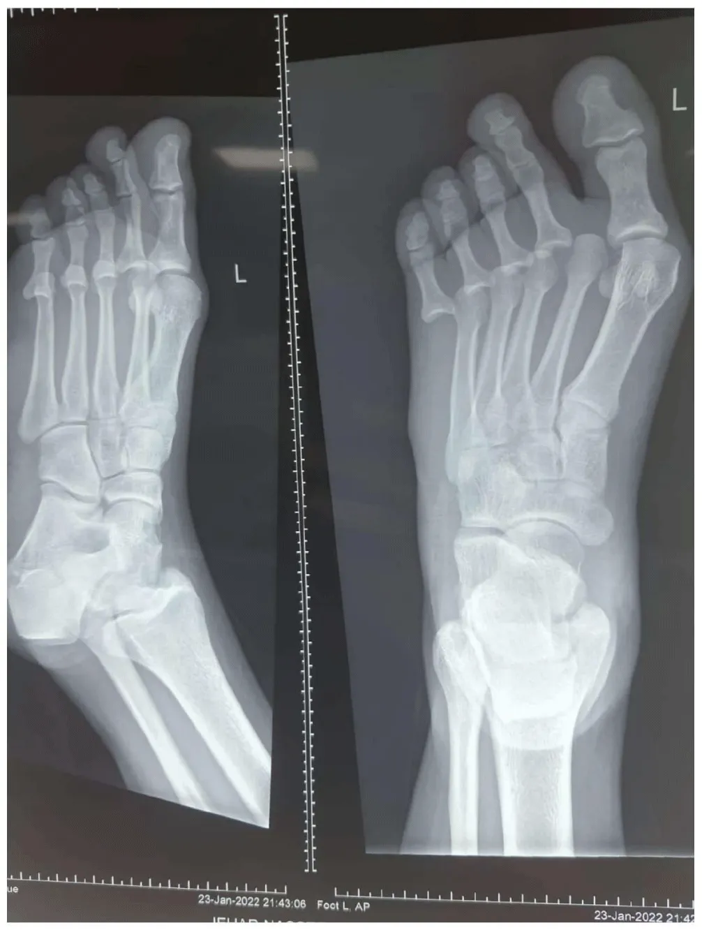
A 32-year-old male patient with no medical co-morbidity was brought to the emergency department of our hospital late at night following a motor vehicle accident with main complaints of trauma to the left foot and ankle, which was swollen with deformity of the lesser toes with associated painful attempted movements. Distal foot vascularity was intact with intact neurology. The medial aspect of the ankle was swollen with tenderness around the medial malleolus. Radiographs of the injured foot and ankle revealed dorsoradial dislocation of the lesser four toes at MTP joints with a unicortical crack seen in the ipsilateral medial malleolus (Figure 1).
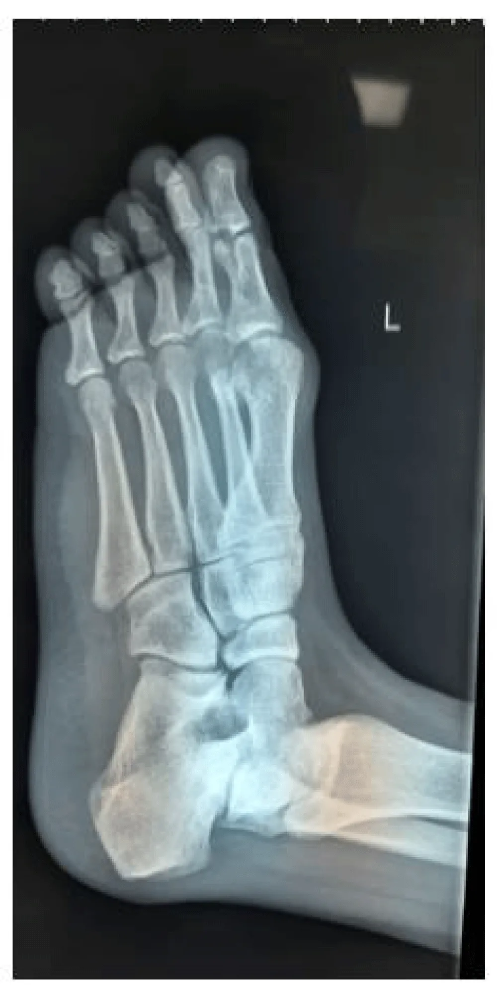
The patient was admitted and, after a preliminary workup, was scheduled for closed / open reduction under anesthesia. He underwent closed manipulation and reduction under General anesthesia by simultaneous reverse mode of injury manipulation of all four toes to free any soft tissue impingement. The joints were stable and congruent after closed reduction without any need for K-wire stabilization (Figure 2). Post buddy toe operatively strapping with below-knee plaster of Paris posterior back slab was applied for immobilization of the foot in neutral position. Patient was kept non-weight bearing for 05 weeks, followed by progressive weight bearing as tolerated.At 12 weeks (Figure 3), follow up patient was doing fine with full weight bearing and had returned to pre-injury level activities with good painless range of toe movements. The patient was followed for a period of 06 months post-injury without any complaints.
Traumatic dislocation of multiple MTP joints involving lesser toes is uncommon. A missed or inappropriately delayed treatment will have a detrimental effect on the gait cycle in addition to lifelong morbidity in the majority of cases. Typically, these injuries result from high velocity trauma, either due to a fall, motor vehicle accident, as in our case or sports trauma. The mechanism of injury is forced hyperextension of the joints. In the majority of cases, these dislocations are dorsal, although plantar [9], lateral and medial dislocations [10,11] have been reported. Ito MM 2007 reported the dislocation of all metatarsophalangeal joints due to an unusual horse-related injury [12]. In our literature search, we came across only four cases of simultaneous dislocation of lesser toes at the MTP joint level. De Palma [1] reported this injury following sports trauma. The remaining three cases reported [2,8,13] the mode of injury was a motor vehicle accident. To date, only one case of simultaneous dorsal dislocation of all five toes treated by closed reduction has been reported [9]. The injury should be managed at the earliest by closed or open reduction, remembering that there are multiple structures that prevent reduction of the joints, like volar plate, the deep transverse metatarsal ligament, lumbricals, and both short and long flexor tendons. In our case, we were able to obtain a stable reduction of all four lesser MTP joint dislocations by closed reduction; no internal or external fixation was used. Early reduction of the dislocated metatarsophalangeal joints of foot deformity is very important because the effects of surgical correction positively reflect on the function of limbs, esthetic appearance, and have a positive psychological effect on the patient.
Dislocation of all lesser MTP joints is very rare compared to isolated dislocation of these joints. Because of the risk of neurovascular compromise, reduction should be performed as quickly as possible. Under anesthesia at the earliest, a trial of closed reduction should be attempted with simultaneous reduction of all the MTP joints. Open reduction should be reserved for irreducible MTP joint dislocations. The results of closed reduction in our case were found to be excellent clinically and functionally.
Subscribe to our articles alerts and stay tuned.
This work is licensed under a Creative Commons Attribution 4.0 International License.

If you are already a member of our network and need to keep track of any developments regarding a question you have already submitted, click "take me to my Query."