International Journal of Dermatology and Clinical Research
Department of Dermatology, Faculty of Medicine Al-Azhar University, Cairo, Egypt
Cite this as
Mosbeh AS (2017) Role of Helicobacter Pylori in Chronic Urticaria among Egyptian Patients with Dyspepsia: A case–control study. Int J Dermatol Clin Res. 2017; 3(1): 026-031. Available from: 10.17352/2455-8605.000023
Copyright License
© 2017 Mosbeh AS. This is an open-access article distributed under the terms of the Creative Commons Attribution License, which permits unrestricted use, distribution, and reproduction in any medium, provided the original author and source are credited.Background/Objective: Chronic urticaria is one of the most frequent skin diseases and still its etiology is recognized only in a minority of cases. Some recent studies point out to infections due to Helicobacter Pylori as being of major importance in the pathogenesis of chronic urticaria. This study aimed to fi nd out the association of chronic urticaria with H. pylori.
Patients and methods: A case-control study was conducted in cairo within the period of Jan 1st, 2016 to January 1st, 2017. The study included 100 cases with chronic urticaria and 100 controls that were free from features of chronic urticaria. Data was collected through direct interview and the results of laboratory investigations were recorded in a specially designed questionnaire. Enzyme-linked immunosorbent assay test was used for detection of Helicobacter pylori antigen in the stool sample. Also gastric endoscope and gastric biopsys were done in addition to histopathological assessment by H&E and Geimsa stain for detection of Helicobacter Pylori. Endoscope was done for patient who was positive stool antigen test. Triple therapy were given for patients in addition to antihistamine to evaluated effect of eradication for helicobacter pylori on chronic urticaria
Results: The age of the 100 cases and 100 controls enrolled ranged from 18 to 67 years.Stool for Helicobacter pylori antigen test was positive in 65% of cases and 29% of controls (P <0.05). The mean age ± SD of positive Helicobacter pylori patients were 33.2 ± 10.4 years, with male to female ratio 1:1.69.
Conclusion: There was a strong association of chronic urticaria with Helicobacter pylori infection. Investigating for Helicobacter pylori in all cases of chronic urticaria and conducting further trials on Helicobacter pylori eradication is recommended.
Urticaria is a group of disorders that share a distinct skin reaction pattern, namely the occurrence of itchy wheals anywhere on the skin. Wheals are short-lived elevated erythematous lesions ranging from a few millimeters to several centimeters in diameter and can become confluent [1]. Angioedema is an acute, evanescent, circumscribed edema that usually affects the eyelids, lips, lobes of the ears, and external genitalia, mucous membrane of gastrointestinal and respiratory tracts, resulting in abdominal pain, coryza and asthma. The swelling occurs in the deeper parts of the skin or the subcutaneous tissues [2]. Acute urticaria evolves over days to weeks, producing evanescent wheals that individually rarely last more than 12 h, with complete resolution of the urticarial within six weeks of onset. Daily or most daily episodes of urticaria and/or angioedema lasting more than six weeks are designated chronic urticaria. Chronic urticaria predominantly affects adults and is twice as common in women as in men [2]. Chronic urticaria is a frustrating problem for both physicians and patients [3]. Possible eliciting factors of Chronic urticaria revealed focal infection as the cause of urticaria in 43% of the patients, out of which Helicobacter Pylori (H. Pylori) was responsible for 60% [4]. Recent observations had suggested a possible etiopathogenic role of H. Pylori in some cases of Chronic urticarial [5]. Chronic infections and parasitic infestations have long been suggested to be an important causal factor for chronic urticaria, but this has never been consistently proven. It has been approximately 15 years since H. Pylori was first isolated from the human stomach [6]. H. Pylori, a microaerophilic gram -negative bacteria, is associated with the duodenal and gastric ulcer, gastric cancer, and atrophic gastritis and is a ubiquitous infection in the population [7]. Its prevalence is directly proportional to age and inversely correlated with socio-economic status in developing countries [8]. There is increasing evidence for systemic effects of gastric H. Pylori infection, which may be involved in extra gastrointestinal disorders such as vascular, autoimmune and skin diseases. A possible relationship between chronic idiopathic urticaria and H. Pylori infection has been suggested in preliminary studies, in which antibiotic eradication of H. Pylori lead to regression of urticaria in up 100% of cases [9-11]. Regarding the possible mechanisms involved in the relationship between H. Pylori infection and chronic urticaria, a number of speculations and theories have been put forward. One possible explanation might be that the immunologic stimulation induced by infection might, through mediator release, causes a non-specific increase of the skin vessel sensitivity to agents increasing vascular permeability [12]. A number of agents might act through this mechanism. As a matter of fact, increased production of interleukin 8 (IL-8), platelet-activating factor (PAF) and leukotrienes (LT) B4 and C4 has been observed in the gastric mucosa of H. Pylori infected patients and these mediators exert evident actions on the skin [13,14]. Another possibility would be that urticaria patients might develop specific IgE antibodies to H. Pylori, an attractive explanation that still requires confirmation [15]. In this context, Liutu et al. [16], have reported greater rates of total IgE increase in patients with chronic urticariaand H. Pylori infection than in those with chronic urticaria but without such infection. There have also been observations reported of increased serum H. Pylori IgE and basophil-bound IgE in subjects with infection [17], and increased basophil counts in peripheral blood in patients with dyspepsia and H. Pylori positivity have also been reported [18,19]. Since no study have been conducted concerning the role of H. Pylori in patients with chronic urticaria in Cairo, we carried out this study to overcome this gap and to provide a baseline data for future studies on this subject. This study aimed to find out the association of chronic urticarial with H. Pylori, and to estimate disease risk associated with H. Pylori. It also aimed to identify the association of cases and controls with socioeconomic factors including age, sex, occupation, educational level and the residence.
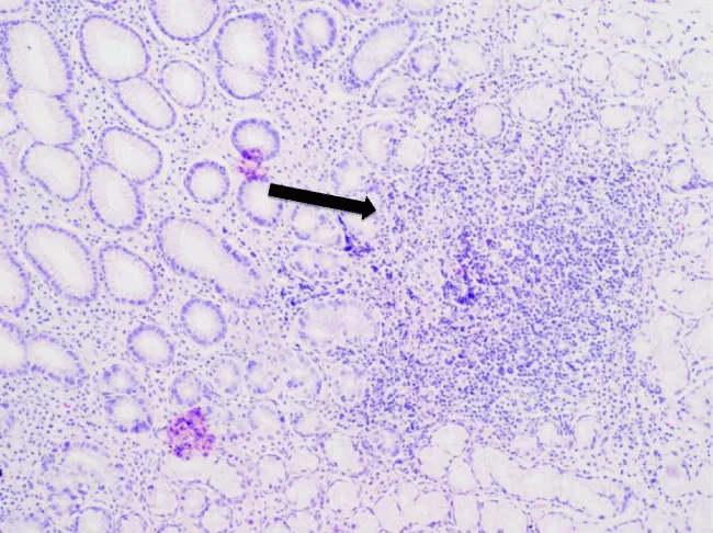
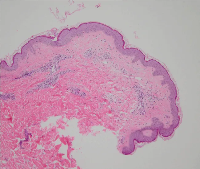
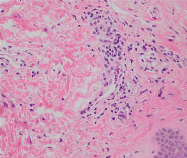
It is a prospective study was performed in dermatology departments, at Al-Azhar Univerisity Hospitals, Cairo, Egypt. The study was conducted within the period of January 1st, 2016 to March 1st, 2017. A convenience sampling method was used for selecting the cases. Any patient with urticaria for more than six weeks was included in the study. Full clinical (Figure 1) and laboratory tests were conducted to exclude those patients with any finding which may be a cause of the urticaria. For the controls, an equal number of persons was chosen and matched by age and gender with cases and free from features of urticaria, gastrointestinal symptoms and any other condition in which H. Pylori may exist. As a result, 100 persons were identified for the cases and 100 for the controls as a sample size for the current study. The followings patients were excluded from the study; patients suffered from physical urticaria, patients consuming proton pump inhibitor within two weeks, antibiotic and Bismuth within four weeks preceded enrolling in the study. The data was collected through direct interview and clinical examination of the patients and controls, in addition to the results of the laboratory findings. The purpose of the study was explained for each participant and verbal consent was obtained from them before inclusion in the study, and anyone wasn’t interested to be involved the study was excluded. An anonymous questionnaire form was prepared to collect data, and filled by the researcher through direct interview. The questionnaire was composed of two parts; the first part was composed of data about socio-demographic characteristics of the study sample e.g. age, sex, residency, marital status, educational level and occupation, while the second part was composed of data about history, clinical and laboratory findings from the study sample. The following laboratory investigations were applied to all the participants in the study: complete blood count (hemoglobin, white blood cells, differential count), erythrocyte sedimentation rate, thyroid function test, hepatitis B virus, hepatitis C virus, general urine examination, general stool examination and H. pylori antigen detection in stool by enzyme linking immunosorbent assay (ELISA) test. H. Pylori antigen Enzyme Immunoassay test (EIA) KIT was used for detection of H. Pylori antigen in the stool sample with specificity 98% and sensitivity 95% of the test [20]. The H. Pylori Antigen EIA test Kit is a solid phase EIA based on sandwich principle for the qualitative and quantitative detection of H. Pylori antigen in stool [20]. Also, Skin biopsy was done for every patient with 5 ml punch biopsy under local anaethesia and histopathological asseseement was done (Figures 2,3). In addition, gastric endoscope and gastric biopsys were done in addition to histopathological assessment by H&E and Geimsa stain for detection of Helicobacter Pylori (Figures 4-6). Endoscope was done for patient who was positive stool antigen test.
Triple therapy were given for patients in addition to antihistamine to evaluated effect of eradication for helicobacter pylori on chronic urticaria.
All statistical calculations were performed using the statistical software package SAS, Release 9.3 (SAS Institute Inc., Cary, NC, USA). Absolute and relative frequency were given for quality characteristics; mean, standard deviation, minimum and maximum values were determined for quantitative variables. To detect group differences, a variance analysis with repeated measurements was performed using the SAS procedure, SAS MIXED. This approach permits to observe concurrently whether there is a distinction between groups (treatment vs. control group), whether changes occur over time (beginning vs. end) and if interactions can be confirmed. The P-value of the interaction indicates whether temporal changes in both groups have a significant difference. Furthermore, t-tests for two independent samples were taken to compare groups at a particular point in time (beginning vs. end). The Wilcoxon test for paired samples was used to determine the severity between the points ‘beginning’ and ‘end’. The outcome of the statistical analysis was deemed significant when the P-value was below 0.05. Findings with P-values between 0.05 and 0.10 were considered ‘slightly significant’.
This study involved 200 persons (100 cases and 100 controls) with their ages ranged from 18-67 years with a mean ± SD of 32.5 ± 11.8 years for cases and 33.9 ± 12.31 years for controls. The highest proportion of the cases (48%) were from 20-40 years age group, and the lowest proportion was from >40 years age group (20%). The highest proportion (43%) of the controls were from the age group 20-40 years, followed by the age group >40 years (29%), and the lowest proportion (28%) were among the age group <20 years. There was no statistically significant association between age groups of the study sample (P >0.05) (Table 1).
The study sample composed of 42% male and 58% female in both cases and controls. Around 72% of the cases were from urban and 28% from rural areas, while 69% of controls were from urban and 31% were from rural areas. Fifty-seven (57%) patients were housewives and 43 were employed. 52 of the controls were housewives and 48 were employed and this finding was not statistically significant (P >0.05). Details of socio-demographic characteristics of cases and controls are shown in table 1.
The stool for H. Pylori antigen test was positive in 65% of cases and in 29% of controls. This finding was statistically significant (P <0.001) as shown in table 2.
Table 3 shows the age and sex distribution of the positive + H. Pylori cases and controls. The mean age ± SD of positive Helicobacter pylori patients were 33.2 ± 10.4 years, with male to female ratio 1:1.69.
H. pylori is now known to be associated with many gastrointestinal disorders, ranging from chronic gastritis to gastric lymphoma and adenocarcinoma and chronic urticaria. H. pylori infection should be considered in the differential diagnosis of patients with upper gastrointestinal problems with urticaria and can be determined by noninvasive tests using serology and carbon isotope-urea breath tests (UBT), or by endoscopic biopsy for rapid urease testing, histopathology with special stains and culture [20]. Serology and whole blood tests are widely available and relatively inexpensive. The H. pylori fecal antigen detection by enzyme immunoassay is now a well-recognized noninvasive test. The test has been approved by the U.S. Food and Drug Administration for diagnosing H. pylori infection before and after therapy [21].
HP infection has a causative role in chronic urticaria and treatment often leads to symptom remission although there is discrepancy in causal association in several studies. This may be due to the different methods used for detection of HP infection or recurrences after successful treatment Studies on the prevalence of HP infection in several countries among CU patients showed conflicting results between 10-39% [22], and 47- 67% [2,23]. This was probably due to various HP infection identification methods used and geographic differences. Most studies used serologic tests (IgG, IgA or both) to identify HP infection, which could not determine active HP infection [24]. But none used H. pylori specific IgM antibodies as in our study.
This trial involved 200 persons (100 cases and 100 controls) with their ages ranged from 18-67 years with a mean ± SD of 32.5 ± 11.8 years for cases and 33.9 ± 12.31 years for controls. The highest proportion of the cases (48%) were from 20-40 years age group, and the lowest proportion was from >40 years age group (20%). The highest proportion (43%) of the controls were from the age group 20-40 years, followed by the age group >40 years (29%), and the lowest proportion (28%) were among the age group <20 years. There was no statistically significant association between age groups of the study sample (P >0.05). Only one study was done in a developing country, by Ghazzawi et al. [9], where HP infection was found in 87 (87%) patients. Federman et al. [24], reviewed ten studies where the combined data showed that the rate of remission of urticaria after H. pylori eradication was 30.9% compared to 21.7% when H. pylori was not eradicated i.e. eradication of H. pylori was both quantitatively and statistically associated with remission of urticarial (P<0.005). Weingart et al. [12], used monoclonal stool antigen test which showed diagnostic sensitivity 96.2% prior to treatment and sensitivity 94.3% post eradication treatment. This supports our and other such studies [18,20,25,26] to diagnose H. pylori in adults and children and to monitor the success of eradication treatment [7]. The stool assay is shown to be highly sensitive in our study i.e. 59.8% (n=52). However, the reason for false negative tests may be due to intermittent shedding of the bacterial antigen in the stool and in our setting, patients are frequently prescribed antimicrobials by the general practitioners. It was not possible to exclude these cases who might have used such medicines without knowledge. Moreover, false negative tests may be due to low load of H. pylori antigen in loose stool specimens and in stool samples mixed with blood. As reported in literature, the H. pylori infection detection by the IgM antibodies against H. pylori is frequent in patients with chronic urticaria, which is important as it could be implied in the diagnosis and treatment [28]. The stool antigen and H. pylori IgM antibodies tests, however, should be considered. Experience with HpSA for the identification of H. pylori antigens in fecal samples is wide with use of monoclonal anti-H. pylori antibodies and has shown good diagnostic performance in diagnosing or evaluating the success of eradication therapy [17,19]. However, limitations and discrepancies with respect to intertest variations, cutoff values, and lower accuracy compared to the results seen with UBT after eradication therapy have been reported [29,30].
The study sample composed of 42% male and 58% female in both cases and controls. Around 72% of the cases were from urban and 28% from rural areas, while 69% of controls were from urban and 31% were from rural areas. Fifty-seven (57%) patients were housewives and 43 were employed. 52 of the controls were housewives and 48 were employed and this finding was not statistically significant (P >0.05). Details of socio-demographic characteristics of cases and controls are shown in table 1.
The stool for H. Pylori antigen test was positive in 65% of cases and in 29% of controls. This finding was statistically significant (P <0.001). Results of studies with serological diagnostic tests show relatively higher prevalence rates of HP infection (63% and 68%) [24,27,28], which is consistent with our study as they persist for longer periods even after successful eradication measures. Studies documented that HP caused inflammation in gastric mucosa facilitates absorption of antigens which leads to production of IgE antibodies which persist after eradication treatment. This may be responsible for urticarial symptoms and points to lack of role of immunoglobulin estimation in posttreatment setup [30]. Higher levels of IgM antibody titre may be due to inclusion of only those CU patients who had dyspepsia. A combination of IgG, IgM, fecal antigen, fast test of urease, histological study (83%) can be of help [31]. However, role of IgM antibodies alone in diagnosis and detection of successful eradication was unconvincing in the present study. The mean age ± SD of positive Helicobacter pylori patients were 33.2 ± 10.4 years, with male to female ratio 1:1.69. The results of study indicate that stool antigen immunoassay and H. pylori IgM antibodies could be used as a routine diagnostic tool for H. pylori infection with association of urticaria. It has the advantage of being patient friendly, noninvasive, easy and quick to perform and cost-effective than the urea breath test. These tests can meet the requirements of dermatologists treating most patients with urticaria and infected with H pylori, convenient for pretreatment diagnosis as high sensitivity and specificity are attainable [32]. However, due to intermittent shedding of the microorganism in feces, HpSA declared negative before eradication treatment in patients with strong suspicion of H. pylori should be repeated again to ascertain the diagnosis. There are reports of patients of CU who had gone into remission after elimination of HP and had a relapse with reinfection, which again cleared after elimination [3,32]. Limitations of our study were: short duration of study, inability to study the natural history of chronic urticaria, and inability to study the natural history of HP infection.
Chronic urticaria and dyspepsia are associated with H. pylori infection and presence of this organism in such cases can be detected with confidence by using noninvasive, sensitive, specific and cheaper techniques like H. pylori stool antigen. This is particularly true in developing counties like ours where because of financial constraints, invasive techniques like gastric antral biopsy, biopsy urease test and costly noninvasive urea breath test are difficult to perform. HP detection should be included in the diagnostic work up of all patients with CU.
Subscribe to our articles alerts and stay tuned.
This work is licensed under a Creative Commons Attribution 4.0 International License.

If you are already a member of our network and need to keep track of any developments regarding a question you have already submitted, click "take me to my Query."